
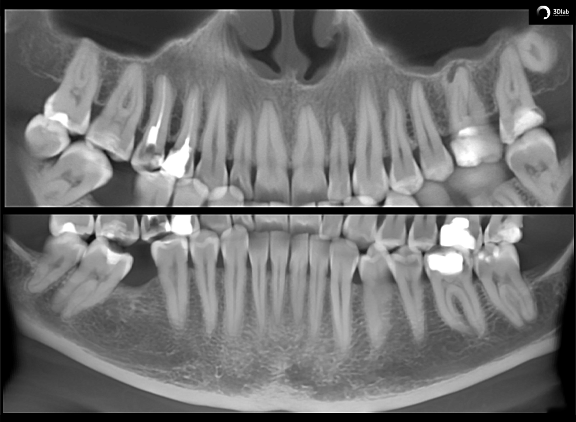
КЛКТ здесь https://3dmedica.ru/ – это современный метод изучения зубов и окружающих их тканей, который позволяет получить трехмерное изображение зубочелюстной системы с высоким разрешением. Этот инновационный подход в диагностике стоматологических проблем играет ключевую роль в точном определении патологий, планировании лечения и проведении хирургических вмешательств.
Преимущества использования КЛКТ в стоматологии
Сюда вошли:
- Высокое разрешение. Благодаря высокой четкости изображения, КЛКТ позволяет точно увидеть структуру зубов, корней, костей челюсти и окружающих тканей, что делает его незаменимым инструментом для диагностики различных зубных заболеваний.
 - Точность диагностики. С помощью КЛКТ специалист может обнаружить проблемы, которые могут остаться незамеченными на обычных снимках рентгена, например, скрытый кариес, очаги воспаления или нарушения структуры корней зубов.
 - Планирование лечения. Полученные данные с помощью КЛКТ позволяют стоматологу точно определить характер зубного поражения и разработать индивидуальный план лечения для каждого пациента.
 - Минимальное облучение. КЛКТ использует минимальное количество рентгеновского излучения, что делает этот метод безопасным для пациентов.
 
Когда необходимо проводить КЛКТ зубов
Конусно-лучевая компьютерная томография может быть рекомендована в следующих случаях:
- Планирование имплантации зубов для определения плотности костной ткани и структуры челюсти.
 - Диагностика кист и опухолей в зубочелюстной системе.
 - Выявление скрытых дефектов эмали или кариеса.
 - Распознавание нарушений околокорневой области.
 
Как происходит процедура КЛКТ
Процедура проведения КЛКТ зубов предельно проста и безболезненна для пациента. Во время исследования пациенту необходимо занять удобное положение на специальном стуле, после чего на него надевается специальное головной устройство, фиксирующее голову в правильном положении. Затем устройство вращается вокруг головы, делая серию рентгеновских снимков. Весь процесс занимает всего несколько минут.
Конусно-лучевая компьютерная томография зубов – это мощный и точный метод диагностики стоматологических проблем, который позволяет специалистам обнаруживать скрытые патологии, планировать эффективное лечение и повышать успех стоматологических вмешательств. Регулярное использование данного метода помогает сохранить здоровье зубов и обеспечивает пациентам качественное стоматологическое обслуживание.
